• 41 & 51 Nguyễn Huệ, phường Thuận Hoá, TP Huế
Cấp cứu 24/7
(0234)3837777
Hotline
0962871919
Phòng TC-HC
(0234)3847146

31

Aug

Thông tin Y tế

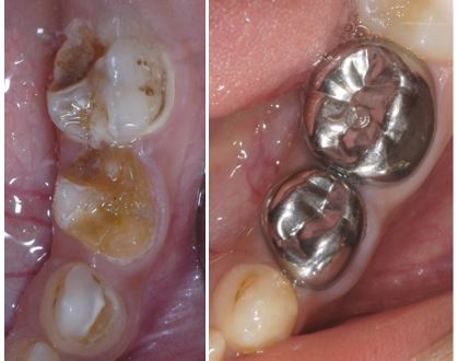
Phục Hồi Mão Thép Làm Sẵn Cho Răng Sữa

Răng sữa đóng vai trò quan trọng trong việc ăn nhai, phát âm và duy trì khoảng trống cho răng vĩnh viễn mọc lên. Tuy nhiên răng sữa có phần men răng và mô ngà...

24

Aug

Kiến thức Y khoa

Tình trạng Dính Thắng Lưỡi Và “Bú Kém”, “Chậm Nói”, “Nói Ngọng” ở trẻ

Trong thời gian gần đây, số trẻ được chẩn đoán dính thắng lưỡi và cắt thắng lưỡi ngày càng tăng lên. Điều này dẫn đến những trường hợp phẫu...

16

Aug

Thông tin Y tế

Bệnh viện Trường Đại học Y Dược triển khai thành công Kỹ Thuật Đặt Tạo Nhịp Bó Nhánh Trái

Rối loạn nhịp chậm là một trong các bệnh lý phổ biến trong chuyên ngành tim mạch. Hiện nay, đặt máy tạo nhịp tim là phương pháp hiệu quả trong điều trị...

15

Aug

Thông tin hoạt động

Tập huấn phòng cháy chữa cháy, cứu hộ cứu nạn cho lực lượng cơ sở tại Bệnh viện Trường Đại học Y – Dược Huế

Thực hiện Chỉ thị số 10/CT-UBND ngày 05/6/2023 của UNBD tỉnh Thừa Thiên Huế về việc tăng cường công tác phòng chát, chữa cháy trong điều kiện thời tiết...

30

Jul

Thông tin hoạt động

Tiếp nhận quà tài trợ từ Tổ chức Students Working Overseas Trust (SWOT), Trường Đại học Queen's Belfast, Vương Quốc Anh

Trong tháng 07/2024, Bệnh viện Trường Đại học Y-Dược Huế đã tổ chức các buổi tiếp nhận quà tài trợ từ Tổ chức Students Working Overseas Trust (SWOT) –...

25

Jul

Thông tin hoạt động

Kết nối yêu thương phối hợp cùng Ngân hàng SHB - Chi nhánh Huế

Ngày 15/7/2024, Ngân hàng TMCP Sài Gòn- Hà Nội (SHB) – Chi nhánh Huế đã trao 30.000.000 VNĐ gửi tới Tổ Công Tác Xã Hội, đại diện Bệnh viện Trường Đại học Y-...

20

Jul

Thông tin hoạt động

Hội nghị Sơ kết Hoạt động 6 tháng đầu năm 2024 và Đánh giá 2 năm thực hiện Đề án phát triển các kỹ thuật chuyên sâu trong khám chữa bệnh

Ngày 20/7/2024, Bệnh viện Trường Đại học Y-Dược Huế đã tổ chức Hội nghị Sơ kết Hoạt động 6 tháng đầu năm 2024 và Đánh giá 2 năm thực hiện Đề án...

17

Jul

Kiến thức Y khoa

Tiếp Cận Một Bệnh Nhân Có Triệu Chứng Run

Chẩn đoán run thường dựa trên thông tin lâm sàng thu nhận qua hỏi bệnh sử và thăm khám thần kinh cẩn thận. Mặc dù có sự chồng lấp và thay đổi giữa các...

15

Jul

Hợp tác quốc tế

Chương trình phẫu thuật cho các bệnh nhân có dị tật khe hở môi – vòm miệng hợp tác cùng Hiệp hội Bác sĩ Phẫu thuật và Tạo hình Hàm mặt (KAMPRS), Hàn...

Từ ngày 8/7 đến 13/07/2024, Bệnh viện Trường đại học Y - Dược Huế phối hợp với Tổ chức KAMPRS, Hàn Quốc tổ chức chương trình phẫu thuật cho các bệnh...

|<  1  2  3 ... 11  12  13 ... 85  86  87  >|
THEO DÒNG SỰ KIỆN
Thông tin Hội nghị Khoa học
Hoạt động chào mừng sự kiện

Phòng Vật tư, Thiết bị và Cơ sở vật chất

Thông báo mời chào giá Mua Clip polymer kẹp mạch máu có khóa các cỡ

10-11-2025
Phòng Vật tư, Thiết bị và Cơ sở vật chất

Thông báo mời chào giá Mua Bộ khăn nội soi khớp gối

06-11-2025
Phòng Vật tư, Thiết bị và Cơ sở vật chất

Thông báo mời chào giá Sửa chữa ghế gỗ

24-10-2025
Phòng Vật tư, Thiết bị và Cơ sở vật chất

Thư mời báo giá hàng điện nước quý 4

21-10-2025

Tin cập nhật