• 41 & 51 Nguyễn Huệ, phường Thuận Hoá, TP Huế
Cấp cứu 24/7
(0234)3837777
Hotline
0962871919
Phòng TC-HC
(0234)3847146

29

Nov

Thông tin Y tế

Chuyển giao công nghệ phẫu thuật nội soi cho Bệnh viện Đa khoa Nghi Xuân

(Baohatinh.vn) - Trong 3 ngày (25 - 27/11), Phó giáo sư – Tiến sỹ Lê Đình Khánh – Trưởng khoa Tiết niệu Bệnh viện Y - Dược Huế đã về khám và chuyển giao công...

29

Nov

Thông tin hoạt động

Giảm thiểu chất thải nhựa tại Bệnh viện Trường Đại học Y Dược Huế

Chất thải nhựa đang hằng ngày tác động tiêu cực đến hệ sinh thái, môi trường sống, sức khỏe con người và sự phát triển bền vững mỗi quốc gia. Trong...

26

Nov

Thông tin Y tế

Bệnh viện Trường Đại học Y Dược Huế triển khai thành công phẫu thuật đặt thể hang nhân tạo cho bệnh nhân rối loạn cương nặng

Rối loạn cương là một bệnh lý tuy không nguy hiểm tính mạng nhưng ảnh hưởng rất nhiều đến chất lượng cuộc sống, không chỉ riêng bệnh nhân mà còn với...

22

Nov

Thông tin hoạt động

Gặp mặt, trao đổi với đoàn Bệnh viện Hiện đại Quảng Châu, Trung Quốc tại Việt Nam

Ngày 21/11 Bệnh viện Đại học Y Dược Huế đã có buổi gặp gỡ, làm việc và trao đổi với Bệnh viện hiện đại Quảng châu, Trung Quốc tại Việt Nam - Đại...

13

Nov

Thông tin Y tế

Tiếp tục phẫu thuật cấy ốc tai điện tử thành công tại Bệnh viện Trường Đại học Y Dược Huế

Ngày 01/11/2019: Bệnh viện Trường Đại học Y Dược Huế tiếp tục phẫu thuật cấy ốc tai điện tử lần thứ mười cho một bệnh nhân: đây là bệnh nhân thứ...

11

Nov

Thông tin Y tế

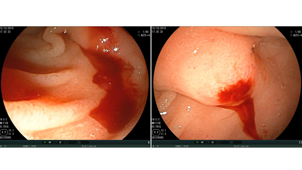
Can thiệp nội mạch cấp cứu một trường hợp vỡ túi giả phình động mạch lách ở bệnh nhân viêm tụy mạn tại Bệnh viện Trường Đại học Y Dược Huế

Bệnh nhân Hoàng Lương T, nam 67 tuổi, được chuyển đến Bệnh viện Đại học Y Dược Huế ngày 15/10/2019 với triệu chứng đi cầu phân đen đã hơn 1 tháng. Bệnh...

08

Nov

Thông tin Y tế

Can thiệp động mạch vành ở bệnh nhân nữ trẻ tuổi bị nhồi máu cơ tim

Bệnh nhân L.T.C.N. 46 tuổi, giới nữ, khởi phát lúc 15h chiều cùng ngày nhập viện với đột ngột đau ngực vùng sau xương ức, đau kiểu nặng tức, lan ra cánh tay...

08

Nov

Kiến thức Y khoa

Nhiễm khuẩn Bệnh viện do Stenotrophomonas Maltophila tại Bệnh viện Đại học Y Dược Huế

Trần Đình Bình, Lê Văn An, Ngô Viết Quỳnh Trâm, Nguyễn Thị Châu Anh, Phan Văn Bảo Thắng, Trần Tuấn Khôi, Hoàng Lê Bích Ngọc và cộng sự

07

Nov

Thông tin Y tế

Nhân một trường hợp nhịp tim chậm do thuốc chống loạn nhịp tim

Bệnh nhân Phan Thị N., 69 tuổi, tiền sử ngoại tâm thu thất R/T, một loại rối loạn nhịp tim nguy hiểm, có thể dẫn tới cơn rung tâm thất và tử vong.

|<  1  2  3 ... 71  72  73 ... 85  86  87  >|
THEO DÒNG SỰ KIỆN
Thông tin Hội nghị Khoa học
Hoạt động chào mừng sự kiện

Phòng Vật tư, Thiết bị và Cơ sở vật chất

Thông báo mời chào giá Sửa chữa ghế gỗ

24-10-2025
Phòng Vật tư, Thiết bị và Cơ sở vật chất

Thư mời báo giá hàng điện nước quý 4

21-10-2025
Phòng Vật tư, Thiết bị và Cơ sở vật chất

Thông báo mời chào giá Mua Bàn quầy phòng tiếp đón tầng 3

20-10-2025
Phòng Vật tư, Thiết bị và Cơ sở vật chất

Thông báo mời chào giá Mua Máy đo nồng độ oxy trong máu

16-10-2025

Tin cập nhật